You take all your meds, you eat healthy, but perhaps you're still feeling tired/foggy or weak. Well this naturally comes flare ups - but there is one common thing i see when looking at IBD patient results: Vitamin deficiencies are very common in IBD. They are very easy to diagnose from your lab results. So let me try and teach you how to spot them too in your results.
Shall we start with what B12/Folate is?
B12 (aka Cobalamin) and Folate (Vitamin B9) are essential vitamins needed to make new cells - especially red blood cells.Essentialmeans the body can’t naturally produce them - so you must acquire them from your diet.
-
B12 mainly from animal products (meat, eggs, dairy).
-
Folate from green vegetables, legumes, and fortified foods.
Why do we link B12 and Folate together?
B12 and Folate are biochemically intertwined — they work in thesame metabolic pathway involved in DNA synthesis. You can’t have one, and not the other.
Here’s the key process simplified:
-
Folate enters the body as folic acid → converted intotetrahydrofolate (THF), the active form.
-
THF donatesmethyl groups needed to buildDNA bases (thymine and purines).
-
Vitamin B12 acts as acofactor that helps recycle folate back into its active form.
Think of it like this: Folate builds the DNA “bricks,” and B12 keeps the “brick factory” running.
Without B12, folate gets “trapped” in an inactive form — this is called themethyl-folate trap.
So even if you haveplenty of folate, a lack of B12 will still cause problems with DNA synthesis.
That’s why the two vitamins arealways checked together in the lab — a deficiency in one often affects the other’s function.
The link to the red cells and the cause of symptoms:
As a haematology specialist, we mostly spot these from the physiological changes to the red cells which we see from a routine ‘Full blood count’ (sometimes known as complete blood count or CBC).
Red cells are made in the bone marrow, one of the most active tissues in the body — constantly dividing cells to make new red blood cells.
To divide properly, those immature red cell precursors (erythroblasts) need toB12/Folate.
So, if there's a lack of DNA synthesis due to insufficient B12/Folate the cells, the cells grow for longer without dividing.This creates large red cells which we can measure in the lab (large red cells are known as macroscopic).
This creates what we call Megaloblastic Anaemia.
What we see in the lab:
To diagnose Megaloblastic Anaemia (large red cells and low overall haemoglobin) and B12/Folate deficiency the doctor is supported with the following information:
-
The Full Blood Count (FBC) shows:
-
↓ Haemoglobin
-
↑ MCV -Mean Corpuscular Volume (size of red cells)
-
↑ MCH -Mean Corpuscular Hemoglobin(the amount of haemoglobin in each red cell - because it's larger it has more).
-
We then spread a blood film, and look visually down a microscope whenever this presents. The Blood film shows large, oval red cells and sometimes hypersegmented neutrophils (see images below).
-
Confirmatory tests:
-
Serum B12 and Folate levels
-
Occasionally homocysteine (↑ in both deficiencies) and methylmalonic acid (MMA) (↑ only in B12 deficiency).
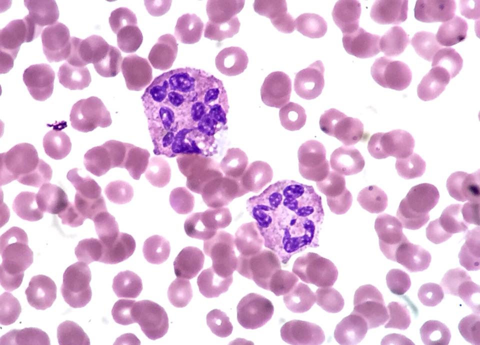
Visually, what do we see down the microscope?

Our microscopes. Often two people will be sitting here 8 hours a day looking at films!

Blood is spread on a glass slide and stained using special stains to highlight the key areas of the blood we are looking at.

In B12/Folate deficiency we see neutrophils (A type of white cell) has lots of purple lobes (known as Hypersegmented). A normal neutrophil has 2 to 5 lobes. Hypersegmented means it has >6 lobes.

Comparison of large B12/Folate deficient red cells on the left, and normal red cells right.


The reagents used to test for B12 or Folate in the blood.

The biochemistry analyser line to process B12/Fol (as well as lots of other tests). Our lab has 3 of these lines for up to 10,000 tests a day.

Our Sysmex XN Line is used to process full blood count results.

The entire process is automatic, capable of running 600 samples an hour.

RBC’s (red blood cells) are plotted on this bell curve based on size, and number. The process for counting RBC’s involves sending the cell through a tiny aperture just one cell at a time, every time a cell passes though it generates electricity which counts the red cells.
The Broader Impact:
B12 also has another job — maintaining themyelin sheath that insulates nerves.
So when B12 is deficient,neurological symptoms (tingling, numbness, cognitive changes) appear — even before anaemia sometimes.
Folate deficiency doesn’t cause nerve damage, but it does cause identical blood film changes — which is why distinguishing between the two mattersbefore starting treatment.
So what can you do?
Well this bit is for your doctor to fix. We identify it, they fix it.
But now you know the importance of B12/Folate and which parameters are used to monitor it. My hope is you can take ownership and the power to ask your doctor the right questions.
These results are not just numbers to me or you. They are directly proportional to your quality of life. That’s why I do what I do. You must provide the body with the right nutrients in IBD, and maintain it. With IBD, inflammation makes it difficult but not impossible.
So don't give up, if you ever find yourself in this situation. Once we give you the answer in the form of blood results. Work with your doctor, and take ownership and power of understanding what your blood cells need, and give them and yourself the best chance.
I hope this has been somewhat helpful. As always, you aren’t alone in this. Reach out to me if you need anything.
Chris